CSE/EE 577: Medical Image Analysis

Autumn 2017


Warm Up
Finding Organs in CT Images
Assigned October 2, 2017

Materials

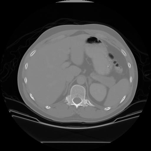
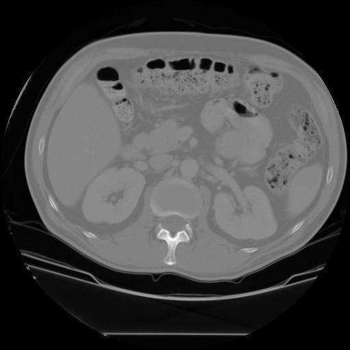
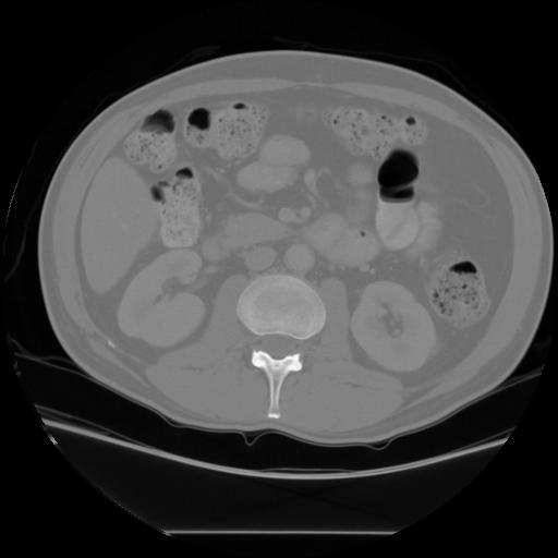
Download the images you need: image1; image2; image3;

Contents

The main goal of this assignment is to find organs of interest in CT images, using techniques of binary vision in Matlab. The organs of interest are the kidneys, the liver, and the spleen, as shown below.

original kidney image isolated regions

You should do this assignment in Matlab. For those who don't know Matlab, here is a Matlab script that works for me. You can use it, adjust it, etc.

kidney = imread('kidney.jpg');
imshow(kidney);
k = find(kidney>128);
kidthresh = zeros(512,512);
kidthresh(k) = 1;
figure;
imshow(kidthresh);
d8 = strel('disk',8);
kidopen8 = imopen(kidthresh,d8);
figure;
imshow(kidopen8);
d1 = strel('disk',1);
kidclose1 = imclose(kidopen8,d1);
figure;
imshow(kidclose1);
b = bwlabel(kidclose1,8);
ll = label2rgb(b);
figure;
imshow(ll);

Explanation

The function imread reads the jpg image and assigns to variable kidney. The function imshow displays an image. The function find selects the pixels whose value is greater than a threshold, here 128. The function zeros, sets a new image kidthresh to zero and then the selected pixels from the thresholding operation are set to 1. Figure tells Matlab to start a new figure instead of replacing the old one.

After the image has been thresholded, morphological operators are used to break bridges, remove noise, close holes. the morphological functions are imopen, which performs an opening with a disk of size 8 and imclose, which performs a closing with a disk of size 1.

After noise is removed, the function bwlabel finds the connected components of the thresholded image and assigns a unique integer label to each component. Since we want to see the results in colors, the function label2rgb is used to produce the final image with the results.

To Do

Turn-In

THIS ASSIGNMENT IS NOT TO BE TURNED IN

This warm up assignment can be done alone or in groups. If you do not know Matlab, we will pair you with someone who does. The idea is to get familar with Matlab and see what simple operations can do.